Products
The BASHIR™ Family of Endovascular Catheters
The BASHIR™ Family of Endovascular Catheters uses a unique combination of mechanical and pharmacological therapy to optimize the resolution of arterial and venous thrombus. Targeted thrombolytics are delivered through the expandable infusion basket enabling the immediate restoration of blood flow. This allows for the synergistic effect of both endogenous and exogenous thrombolytics to accelerate thrombus lysis more efficiently and safely.
The BASHIR™ Endovascular Catheter Difference
HOW THE BASHIR™ ENDOVASCULAR CATHETER WORKS:
Basket expansion creates cross-sectional fissures, fragmenting the thrombus, to immediately re-establish blood flow.
Targeted delivery of physician-specified fluids, including lytics, through 6 mini-infusion catheters within the expandable basket.
The synergistic effect of endogenous and exogenous lytics results in maximum reperfusion.
The BASHIR™ Endovascular Catheter Basket Expansion
Atraumatic nitinol-enhanced infusion basket expands from 2.3mm up to 45mm
For patients with long lesions in peripheral vessels, the BASHIR™ Plus portfolio of endovascular catheters deliver targeted thrombolytics through the expandable infusion basket as well as the distal shaft to achieve optimal clinical results.
BASHIR™ Endovascular Catheter Treatment Scenarios
Pulmonary
- pulmonary embolism
Venous thrombus
- iliocaval (IVC filter)
- iliofemoral
- femoral
- Paget-Schroetter syndrome
Arterial thrombus
- aortic
- iliac
- femoral
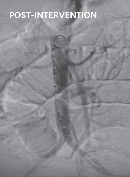
1.
aortagram
30 minutes post intervention BASHIR™ Endovascular Catheter with 2 x 5mg boluses r-tPA
2.
venogram of occluded IVC filter
BASHIR™ Endovascular Catheter+40 total 25mg r-tPA
3.
venogram, iliofemoral thromus
16mg total r-tPA
4.
Venogram of axillary and subclavian vein
Total of 12mg of r-tPA
5.
Bilateral PE case
RESCUE protocol – total of 14mg r-tPA (7mg per lung)
The Thrombolex Difference
The BASHIR™ portfolio of endovascular catheters have a unique, expandable nitinol-enhanced infusion basket for fragmenting the thrombus while delivering a thrombolytic agent. Nitinol enhancement provides visibility and core strength to effectively fissure the clot.
Expansion of the basket increases the surface area for treatment and exposes more of the thrombus to the patient’s blood flow. This unique mechanism of action harnesses the benefit of the patient’s endogenous fibrinolytics combined with the exogeneous fibrinolytics to accelerate lysis.
Mechanism of Action
The ability of the infusion basket to expand helps to immediately restore blood flow while efficiently delivering thrombolytics.
Pulmonary Embolism
Illustration of treatment of a pulmonary embolism with BASHIR™ Endovascular Catheters.
Our Family of Catheters
For restoring blood flow in peripheral and pulmonary vessels
The catheter’s expandable infusion basket allows a controlled and selective infusion of physician-specified fluids.
Available in 7F and 8F sizes.
For restoring blood flow within shorter peripheral and pulmonary vessels
The short basket of the S-B catheter allows navigation and implementation in shorter, more tortuous vessels.
Available in 7F and 8F sizes.
For restoring blood flow in peripheral vessels with extensive thrombus burden
A family of catheters designed to deliver thrombolytics through the expandable infusion basket and along a segment of the catheter shaft.
-













